获奖名单
奖项
作品名称
一等奖
《思君不见倍思君》
一等奖
《谁掉了“记忆面包”?》
一等奖
《隔离“岛”》
二等奖
《镜下的缺憾美》
二等奖
《蛋白晶体优化》
二等奖
《雪落红梅》
二等奖
《遇你,与你,予你》
二等奖
《细胞物语》
三等奖
《向日板》
三等奖
《合成酚类抗氧化剂对斑马鱼胚胎的发育毒性(以AO2246为例)》
三等奖
《有着有趣灵魂的贾第虫》
三等奖
《焰》
三等奖
《细胞宝宝》
三等奖
《不再流浪》
三等奖
《生命的绽放》
优秀奖
《Immunohistochemistry 》
优秀奖
《孤岛》
优秀奖
《“心跳”(蟾蜍心室期前收缩与代偿间歇)》
优秀奖
《遗-留》
优秀奖
《猪带绦虫头节》
优秀奖
《葡萄的海》
获奖作品展示
一等奖
壹
艺术图
原始图
《思君不见倍思君》
徐澜真
阳春三月,花开半夏,一袭旗袍染一树清风,两袖清风诉绝世风雅。
执一油七夕佳节至,烟雨朦胧中,一妙龄少女立于长廊内,执一油纸伞。廊外,竹叶挽着风,摇摇欲坠;心间,思绪念着君,悠长悠长。
青青河畔草,绵绵思远道。远道不可思,夙昔梦见之。风中的萧瑟,心头的难逝,无人诉说……本作品根据细胞的不同形态,采用了三种乳腺癌细胞和环层小体,作为构图元素。本图中的耳坠子由BT-549细胞构成,竹叶由MDA-MB-231构成,旗袍由T47D细胞构成,头饰由环。
贰
艺术图
原始图
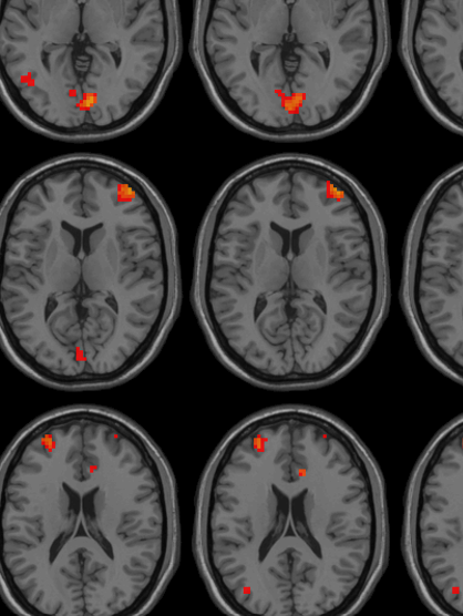
《谁掉了“记忆面包”?》
陆晓清
以杂志海报的形式展示抗NMDA受体脑炎病人工作记忆任务异常的脑机制。因此我们通过将原始拍摄图(基于n-back范式的任务态fMRI的抗NMDA脑炎病人相较于正常人的异常脑区的激活图)和异常脑区激活的皮层映射图进行整合,并通过一定的美化手段,最终以海报的形式呈现。
叁
艺术图
原始图
《隔离“岛”》
沈晨
在原始拍摄图的基础上,我们进行了相应的艺术创作,对病变部位进行了突出处理,而对病变周围的正常部位进行了模糊处理,一方面可以起到警示作用,突出病变部位的严重性;另一方面也想表示模糊不清的部位可能存在着被感染的风险。采用切割画面、分离强调的艺术手法,符合平面设计中的模块法则。图中聚集在一起的癌细胞就好像一座孤岛,周围被正常细胞包绕着,因此我们取名为“隔离岛”。
二等奖
壹
艺术图
原始图
《镜下的缺憾美》 许莉晗因为缺憾,每一片树叶都是独一无二的呈现;因为缺陷,实验斑马鱼有助于我们解开生命科学的深邃之题。面对缺憾,不能沉湎其中而哀恸难拔,应当深谙缺憾之美,以缺为玦,成就更美的风姿。在求索真理的漫漫长路上,相伴的绝非是一马平川的坦途,更多的是崎岖不平,是泥泞沼泽,是千山越尽后再次的千山,缺憾如影随形,考验往往接踵而至。但这些都是心性的磨砺,都是韧性的提升。虽有缺憾,但是追求始终不变;虽历经考验,但脚步永不停歇
贰
艺术图
原始图
《蛋白晶体优化》
林涛
晶体的本质就是蛋白,生命的诞生离不开蛋白,蛋白质是生命活动的体现者和承担者。因此,晶体也是生命的本质的一种。二次创作中的3只可爱的小乌龟和周围的小圆点互相映衬,形成了一幅活灵活现的图画,乌龟旁的小圆点即为它赖以生存的环境。这幅二次创作的画同时也体现出了生命的美好以及生命与大自然和谐相处的美好愿景!本实验的艺术创新在于将晶体和蛋白质生命联系在了一起,既充满了艺术美,又不乏创新思维。
叁
艺术图
原始图
《雪落红梅》
杜彦婷
梅须逊雪三分白,雪却输梅一段香。唯有梅与雪相互映衬,相互融合,才能成就了冰天雪地之中最诗意的美。
PSI+转染酿酒酵母红色似梅,真菌菌落白色似雪,交相呼应踏雪寻梅,宛如置身冰雪林中,静静地欣赏着纷纷扬扬的雪细腻的飘落在暗香浮动的梅花花瓣上,不带一丝尘埃,不带一丝矫情,一切都是那样的自然,那样的温馨,那样的静美。
我们也应该学习雪花和梅花的品质,既具备雪花的纯洁与典雅,也具有梅花的坚持与毅力。星星永远发着光,只是有的星星暂时被乌云遮住了,等乌云散开的那个刹那,它的光会格外闪耀。
肆
艺术图
原始图
《遇你,与你,予你》
王涵钰
蕴意着表层的执手之交,却蕴P2心灵的碰撞,我们身处黑暗的境界,新冠疫情期间,偌大的大地上却无一丝光亮落入,于是,我们的医护人员,安保,商人等便自己化身微光,点亮自己,照亮他人。图片中的点点微光正向四周蔓延开来,“光珠精神”也得到了很好的发扬与传承,手与手之间,我们团结的力量越来越强大,与此同时,阳光也开始于角落中慢慢探出头来。
一只手,两只手,三只手……我们于黑暗中相遇,互不相识,依旧信任彼此,传递着那点点微光。终于,你比你想象的更浩瀚,我比我想象的更勇敢,我们齐心协力,我们同舟共济,天光渐明,只见阳光自那云层雾幔中脱颖而出,从此,三月的春天开始有了颜色。
伍
《细胞物语》(艺术图)
范梅梅
该图为中心粒细胞深染的核。中性粒细胞源于我们体内的骨髓。自被创造之始,中心粒细胞就肩负起了保护我们身体健康的重任。从被创造到被清除,它始终静静地随着血液在人体内不断地循环,几乎巡逻在人体的每一处。当人们身体出现状况时,中心粒细胞会通过它数量的增减,提示人们”嘿!你该注意了!”是它们,维持着身体的健康;是它们,警示着身体的不佳状态。它们代表着人体的生命力,假使人体是一棵大树,那么有它们在,树上便开满了鲜花。
三等奖
壹
《合成酚类抗氧化剂对斑马鱼胚胎的发育毒性(以AO2246例)》(原始图)
柴一楠
荧光图片均使用荧光倒置显微镜拍摄,基因编辑技术通过荧光标记将神经元可视化,向我们展现出了复杂而美妙的神经系统。在GFP蛋白的指示下,比较对照组和实验组的神经神经粗细、数量和末梢分支,生动形象的展示了药物的行为毒性机理。这组图片在实用、富有美感的同时,也为后续更深层次的研究指明方向、奠定基础。
贰
艺术图
原始图
《有着有趣灵魂的贾第虫》 马骁天第一次观察到贾第虫的滋养体时,发现其形状酷似幽灵,包囊也似乎有着自己的思想,不甘做一个普普通通的包囊,于是瞬间就被这个贾第虫吸引。于是我们小组决定以贾第虫为原始素材,进行创作,发挥我们的想象,来展现出一个不一样的蓝氏贾第鞭毛虫。
叁
艺术图
原始图
《焰》
宋陆晶
可能因为仪器原因,酒精灯火焰下方分离出了许多小火焰,再加上与接种环相遇的外焰迸发出了更为明亮的火焰红,如同一位跃动于火焰中的精灵一般。她俯身亲吻,用满腔的热情将细菌消灭。
肆
艺术图
原始图
《细胞宝宝》王家俊癌细胞对于病人来说是恶魔,医生通过各种化疗、放疗、靶向治疗等手段,千方百计抑制癌细胞增殖、转移,然而恶魔“癌”依旧强大,令医生头疼。而在科研实验室中确是另一幅景象,我们配置出各种营养丰厚的培养基,高价购买胎牛血清,为癌细胞提供恒温、恒湿,并且无菌的生长环境,希望癌细胞能快快生长起来,供实验研究,然而癌细胞却变得十分“脆弱”,但凡有一点不适宜,他就不长,他不长,实验也就无法进行。因此,我们这些研究者们需要像呵护“宝宝”一般保护细胞,摸清“细胞宝宝”的性格脾气、生长习惯,做出相应的操作,让“细胞宝宝”长得白白胖胖。
伍
艺术图
原始图
《不再流浪》
姚倩倩
黑猫一般都是孤独但有灵性的象征,我们把两只黑猫放到一起,寄予团聚的美好寓意,背景采用一张用过曝技术处理后的乳腺癌细胞的图片,以过曝后的细胞图作为星空,两者组合在一起有了一种空灵的美感。
陆
对于个体来说,感觉,也是生命中不可缺少的重要成分。从呱呱坠地时睁开双眼好奇地感受新鲜的世界,到垂暮之年心头那份对世界最终的留恋,都来自于我们的感觉神经。正如触觉小体的形态一样,它小到我们用肉眼绝对无法观察,但却如花般在指尖悄然绽放。美好的事物偶尔藏于生活中我们忽略的细节,只要我们细心留意,总能感受到那悄然绽放的花香。
柒
艺术图
原始图
《向日板》 刘锡蒙细菌们的碎碎念:“wow!宿主的胃又投递了好多食物残渣,可有的忙了!兄弟们!加把劲!跑起来,带动我们脚下的这根履带,把残渣都运送出去!”作为身体里的重要有益菌,我们寄生在大肠之中,同时我们在大肠中的运动又可以带动宿主体内的消化系统的运作。但是一旦我们兄弟的数目变的过于庞大,大家跑起来的动力太强啦,就会让我们的宿主拉肚子。总的来说!我们与宿主是个互依互存的关系!
戳一戳看往期精彩审核 | 潘辰豪 葛哲超
编辑 | 刘作家
封面 | 李玉晶 李明欣
出品 | 基础医学院新闻中心

